Atlantic salmon with mottled liver and blood tinged ascitic fluid affected by novel Piscirickettsia species.

New SRS bacteria species discovered in Scotland and Ireland

Published Modified

An investigation into the causal agent of salmon rickettsial septicaemia (SRS) in Ireland and Scotland by a team at the Norwegian company PatoGen AS has revealed a novel bacterial species, which is distinct from the traditional causal agent, Piscirickettsia salmonis.

SRS has emerged as a significant disease in marine salmon farms in multiple regions of Ireland and to some extent Scotland in the past four to five years, and there has also been a cluster of detections of P. salmonis in northern Norway in 2024. Historically SRS has been a priority disease in Chile but has also emerged as a disease challenge in Australia and Western Canada.

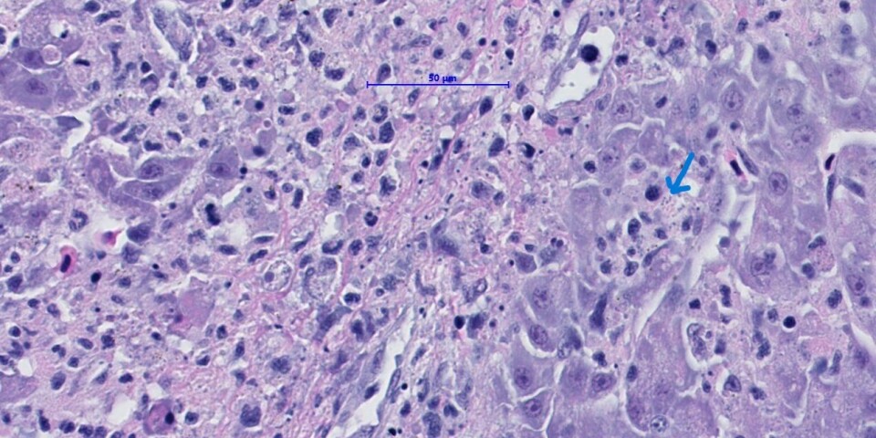
The novel Piscirickettsia species (provisionally named Piscirickettsia nova) is not one of the genogroups of P. salmonis but a distinct species and has been isolated and detected in salmon in Ireland and Scotland presenting with clinical signs and histopathology (see photos above and below) consistent with that described as SRS.

Specific tests

PatoGen AS has developed specific PCR assays that differentiate the novel species from P. salmonis and investigations into epidemiology, pathogenicity and pathology are the subject of further work.

Hamish Rodger, from PatoGen AS, said: “This is an important development as this will allow us to help with optimal treatment options, improved specific (autogenous) vaccines, investigation of spread of the specific pathogen, reservoirs (of the pathogen) and improved biosecurity.”

Further details are available by emailing post@patogen.no, and at the SRS Initiative meeting in Atlantic Technological University, Galway, Ireland, on April 25.

Histopathology of liver showing necrotising hepatitis with intracellular microorganisms (arrow) in Atlantic salmon affected by novel Piscirickettsia species.